2025年天天免费资料,2025 美容伤眼?哈医大二院眼科成功救治青年女性
近些年,各种各样的医美激光设备凭借它的便捷特性以及那种能很快见到效果的特色,而备受众人的青睐之意眷顾喜欢,好多怀着爱美之心的人都把它当作是“能变出美好的神妙器具”。然而呢,医美激光一边达成着容貌的改善变好,可同时因为操作的时候不准确恰当,它对于眼睛所存在的潜在伤害却经常被人们所忽略无视掉。最近这些日子里,哈医大二院的眼科成功地救治了一名因为美容仪激光意外地造成灼伤从而致使出现巨大黄斑裂孔情况发生的青年女性,这又一次给众人敲响了警示的钟声。

哈医大二院眼科主任孙大卫教授带领团队进行手术
化姓张女士,34岁时在进行美容期间,由于操作存在不当之处,致其右眼受美容仪激光照射,而后出现视力急剧下降,同时还伴有眼前黑影飘动的状况,随后立刻前往哈医大二院急诊。医生快速展开检查,发现其右眼玻璃体腔内存在血性混浊的情况,并且其黄斑区出现了因外伤所导致的巨大裂孔。

SLO、B超显示右眼玻璃体积血
哈医大二院,眼科主任,孙大卫教授介绍,黄斑裂孔,是一种,严重影响视力,的眼底疾病,多由,黄斑区,的视网膜神经上皮层,完全撕裂,所导致。患者常表现为,中心视力下降,视物变形,或中心暗点,等症状,严重者,可能导致失明。其成因,包括老年性退变,玻璃体牵拉2025天天彩资料大全最新版,外伤,等因素2025全年免费资料查询,黄斑裂孔,的治疗难度较大2025年天天免费资料,2025,通常需要,通过手术,进行修复。

OCT显示黄斑区巨大裂孔
张女士,经过完全面积的检查,还有病情的评估,最终呢,是以“右眼黄斑遭遇裂孔、右眼玻璃体出现积血”这样的情况,被收入进医院进行治疗的。
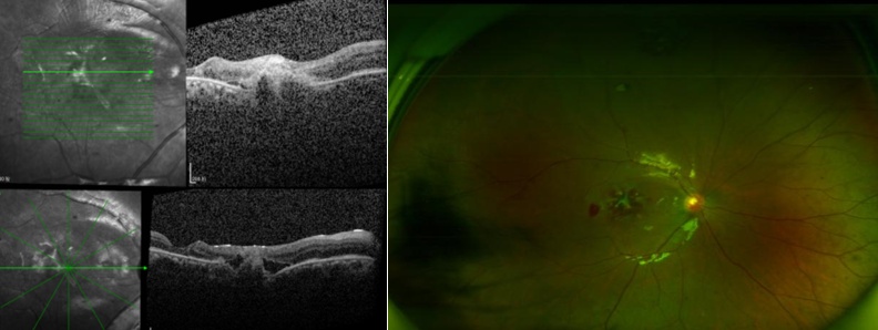
术后一周,张女士又一次来到眼科蒋博教授的门诊进行复查,经过一番详细检查,结果发现黄斑区的裂孔竟已开始闭合,其视力从手动提升到了0.02 。

OCT显示黄斑裂孔逐渐好转,SLO显示玻璃体积血已清除
哈医大二院眼科主任孙大卫教授着重指出,人人都有爱美之心,在追求美丽之际,保护眼睛同样是至关重要的。虽说激光美容仪在医美领域效果明显突出,即便一旦操作有不合适地方也有可能带来严重的眼部损害。特别是激光美容仪常用的波长范围处于500至1000nm之间,这属于近红外光,具备较强的热效应。一旦激光意外照射到视网膜里最敏感的黄斑区,就可能造成不可逆转的视力损伤,严重地影响患者的生活质量。为保证安全,在使用激光美容仪时,一定要采取以下预防举措:
在开展美容治疗期间,务必要去配戴那种专门的用于防激光的护目眼镜,以此来让眼睛不被激光所伤害。这可是最为基础的安全举措,能够切实降低意外发生的遭受到伤害的风险。
二、要防止直视激光,于接受治疗之际,不可直直地盯着激光光束,激光强度超高,直视会给视力带来极大损害,甚而有可能致使永久性失明。
3.挑选专业机构:要保证在具备资质的专业美容机构开展治疗,去挑选拥有丰富经验的专业人员来进行操作。千万不要在家自己私自操作,也不要去选择来源不明的设备,否则会导致不必要的伤害。
4.进行眼睛的定期检查:是在使用激光设备之后,定期于专业的眼科医院当中开展眼部的检查,以此能够及时地发现以及处理潜藏的问题 。
专家作出提醒,一旦眼部因为激光而出现灼伤这种情况,就要在第一时间去到专业的眼科医院,去进行就诊,进而明确受损的部位,且要接受足够及时的治疗行为,依循这样来最大程度达到挽救自身视力的目的。
鲁ICP备18019460号-4
我要评论